大動脈解離の簡易スクリーニング
大動脈解離を疑う3つの項目
・突然発症の裂けるような痛み
→解離を疑うきっかけ
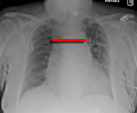
・胸部単純レントゲンで縦隔陰影の拡大(縦隔拡大>8cm)
(臥位では上縦隔は生理的に増大してしまうので判別困難。その場合は気管分岐部レベルでの椎体中央と大動脈陰影左縁の距離が5cm以上であれば縦隔拡大陽性とする。気管分岐部レベルでは臥位でも立位でも椎体中央と大動脈陰影左縁の距離は変わらないため)
・左右の腕での血圧差が20mmHg以上
このうち2項目あれば陽性尤度比5.3。3項目満たせば陽性尤度比66。
2項目以上満たせば単純・造影CTで精査必要。
1項目も満たさなければかなり否定的。
縦隔の拡大の一例

http://www.fprmed.com/Pages/Cardio/Aortic_Dissection.html
縦隔拡大の一例その2

NewYork-Presbyterian Hospital - Emergency Medicine - Case of the Month 01/08